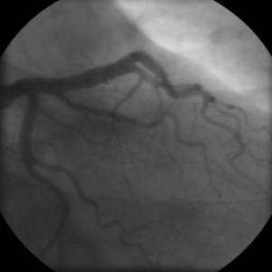
WHAT IS CORONARY ANGIOGRAPHY ?
Coronary angiography is an X-ray examination of the blood vessels of the body brain, kidneys or chambers of the heart. A very small tube (catheter) is inserted into a blood vessel in your groin or arm so as to determine whether the vessels are diseased, narrowed, enlarged or blocked altogether. The tip of the tube is positioned either in the heart or at the beginning of the arteries supplying the heart or any other body part, and a special fluid (called a contrast medium or dye) is injected. This fluid is visible by X-ray, and the pictures that are obtained are called angiograms.
The advancements in technology have helped in replacing coronary angiography by less invasive methods such as computed tomography angiography and magnetic resonance angiography. In these no catheter is required to be inserted. Catheter angiography is now more common in cases that may require surgery or angioplasty– with or without stent placement.
WHY DO I HAVE TO UNDERGO ANGIOGRAPHY?
Common reasons to do catheter angiography are to detect narrowing or blockage of a blood vessel, identifies abnormally dilated blood vessels, and determines the site of internal bleeding. The procedure is able to:
- Show atherosclerotic disease in the carotid artery of the neck, which may limit blood flow to the brain and even cause a stroke.
- Demonstrate an intracranial aneurysm or other disorders of the blood vessels in the brain.
- Indicate disease in the renal artery or help prepare for a kidney transplant.
- Determine the state of the aorta and detect an aneurysm of this vessel.
- Demonstrate a source of bleeding, such as a stomach ulcer.
- Help prepare for surgery on diseased blood vessels in the legs of patients who have severe leg pain ➜ when walking.
- Show the extent and severity of atherosclerosis in the coronary arteries.
In addition to this procedure is also used to confirm and plan for coronary bypass surgery or to decide on the best possible procedure. By using the catheter a surgeon can virtually see inside the vessels and repair the diseased vessels.
WHAT AM I REQUIRED TO DO BEFORE THE PROCEDURE?
- You may be required to stay in the hospital for up to 6-8 hours after the procedure.
- You may be asked not to eat or drink anything except routine medication with very little water for 4 – 8 hours prior to the schedule time. Some hospitals are not very particular about this.
- You must therefore obtain clear instructions from the hospital beforehand.
- In case you stay more than one hour away from the hospital you may be required to stay overnight. In any case you cannot drive for up to 24 hours afterwards. You must make necessary arrangements for this.
- You should not carry any expensive jewelry with you since the hospital will ask you to remove the same before the procedure. The medical personal will draw some amount of blood for testing for kidney function and clotting time and an intravenous line will be set up.
- You will be required to sign / give your consent for the procedure after the Doctor has explained the details and probable risks involved.
- YOU MUST INFORM THE MEDICAL PROFESSIONALS ABOUT ANY ALLERGIES AND IF YOU ARE PREGNANT SINCE THIS WILL HAVE DIRECT EFFECT ON YOUR HEALTH.
HOW IS CATHETER ANGIOGRAPHY PERFORMED?
You will lie on the x-ray table, generally flat on your back. You need to have a needle put into a vein in your arm, so that the physician can give you a sedative or painkillers. Once in place, this will not cause any pain. You will also have a monitoring device attached to your chest and finger, and may be given oxygen through small tubes in your nose.
The physician will keep everything as sterile as possible, and will wear a theatre gown and operating gloves. The skin near the point of insertion, probably the groin, will be cleaned with antiseptic, and then most of the rest of your body will be covered with a theatre towel. If the arteries in your groin are blocked it may be necessary to perform the procedure from an artery at your elbow or wrist
The skin and deeper tissues over the artery will be anesthetized with local anesthetic, and then a needle will be inserted into the artery. Once the physician is satisfied that this is correctly positioned, a guide wire is placed through the needle, and into the artery. Then the needle is withdrawn allowing the fine, plastic tube (catheter) to be placed over the wire and into the artery.
The physician uses the x-ray equipment to make sure that the catheter and the wire are moved into the right position, and then the wire is withdrawn. The special dye (contrast medium) is then injected through the catheter and x-rays are taken.
Usually several sets of x-rays are taken and, once the physician is satisfied that the x-rays show all the information required, the catheter will be removed and the physician will then press firmly on the skin entry point, for about 10 minutes, to close it, to prevent any bleeding. Alternatively, a special closure device may be used.
You will have to lie flat for two to six hours after angiography, depending on the reason for the exam, the catheter size, and the type of device used to close up the artery. During this time, you should inform the nurse if you notice any bleeding, swelling or pain at the site where the catheter entered the skin. The entire procedure may take less than an hour or as long as several hours.
WHAT WILL I FEEL DURING THE PROCEDURE?
The local anesthetic injection may sting briefly but during the rest of the procedure there will be no pain. When contrast material is injected, you may feel warm or occasional burning sensation.
Very few patients suffer from any ill effects of the procedure- during or after. It is however, tiresome to lie flat on your back for several hours. After the procedure the Doctor will advise you not to fold the leg in which the catheter was inserted to avoid bleeding.
WILL I FEEL ANY PAIN DURING ANGIOGRAPHY?
When the local anaesthetic is injected, it will sting to start with, but this soon wears off, and the skin and deeper tissues should then feel numb. After this, the procedure should not be painful and you wil not feel the tube moving inside your arteries. There will be a nurse, or another member of clinical staff, standing next to you and looking after you. If the procedure does become uncomfortable for you, then they will be able to arrange for you to have some painkillers as appropriate.
As the dye, or contrast medium, passes around your body, you may get a warm feeling, which some people can find a little unpleasant. However, this soon passes off and should not concern you. You will also feel as though you are passing water as the dye passes through the arteries to your bladder – again this passes off very quickly.
HOW LONG WILL THE PROCEDURE TAKE?
Every patient’s situation is different, and it is not always easy to predict how complex or how straightforward the procedure will be. Some angiograms do not take very long, perhaps half an hour. Other angiograms may be more complex, and take rather longer, perhaps over an hour. As a guide, expect to be in the x-ray department for about an hour and a half altogether.
WHAT HAPPENS AFTER ANGIOGRAPHY?
You will be taken back to your ward on a trolley. Nurses on the ward will carry out routine observations, such as taking your pulse and blood pressure, to make sure that there are no problems. They will also look at the skin entry point to make sure there is no bleeding from it. You will generally stay in bed for a few hours, until you have recovered. You may be allowed home on the same day, or kept in hospital overnight.
DO I HAVE TO UNDERGO THIS AND WHAT ARE THE BENEFITS AND RISKS?
An angiogram is a good diagnostic test and its BENEFITS are as under.
- Angiography provides a very detailed, clear and accurate depiction of the blood vessels. This helps in planning for the procedures especially when surgery or percutaneous intervention is likely.
- By selecting the arteries through which the catheter passes, it is possible to assess vessels in several specific body sites. In fact, a smaller catheter may be passed through the larger one into a branch artery supplying a small area of tissue or a tumor; this is called “superselective angiography.”
- The details provided to a surgeon through the angiography are not available with any other test.
RISKS OF ANGIOGRAPHY
Angiography is generally very safe, but there are some risks and possible complications.
Risks to the Artery in the Groin
Quite often a small bruise (‘hematoma’) forms around the site where the needle has been inserted. If this becomes a large bruise, then there is a risk of it getting infected, and it may require treatment with antibiotics. Very rarely, some damage can be caused to the artery by the catheter which may need to be treated by an operation or another radiological procedure.
Risks to the Kidneys
The contrast material used to show up the arteries may temporarily worsen kidney function. This is more likely if you have poor kidney function, are a diabetic, or are taking some particular drugs.
Damage to other Arteries
Moving tubes around in narrowed arteries can knock off tiny bits – ‘atheroemboli’ – which fly off and block much smaller arteries in the feet, in the kidney, or elsewhere. This is more likely if the aorta (major blood vessel from the heart) is badly narrowed, and occasionally it causes serious trouble, for instance leading to kidney failure, or a need to amputate toes or even limbs. Very rarely this can be fatal.
Risks to Pregnant Women
Women should always inform their doctor if there is any possibility that they are pregnant. X-rays are harmful for a pregnant woman and the unborn child. It is important to discuss what the risks are in your case with the radiologist and with the other doctors looking after you. The risks are very low for most people, but higher for others.
LASTLY
Some of your questions should have been answered by this information, but remember that this is only a starting point for discussion about your treatment with the doctors looking after you. Make sure you are satisfied that you have received enough information before you sign the consent form.
Angiography is considered a very safe procedure, designed to obtain sufficient information about your circulation to allow you and your doctors to make an informed decision about your future treatment. There are some risks and possible complications involved, and although it is difficult to say exactly how often these occur, they are generally minor and do not happen very often. Some people may already have narrowings in all their blood vessels and they are more at risk of developing complications after angiography.
- Angiography can usually be done in a very short stay in the hospital or as an outpatient
- Usually the risks of this procedure are low, but in some patients they are higher- you should discuss this with the physician before the procedure
UNDER WHAT CONDITIONS SHOULD I NOT UNDERGO ANGIOGRAPHY?
- Patients with limited kidney function with or without diabetes.
- Patients who had a reaction to contrast material before.
- Patients with a tendency to bleed.
Under these circumstances you may be given non-iodine based contrast material and a few doses of steroid medication before the procedure.
WHAT IS THE INTERPRETATION OF THE FINDINGS OF AN ANGIOGRAM?
An angiogram reveals the location of the blockage and its extent for each vessel of the tested area. The doctor after study of the findings will explain to you or your relatives about the results and future course of action for you. He may opt for any of the following:
- In case the blockages are minimal- below 50% you may be advised to carry on taking prescribed medicines and periodic evaluation along with necessary precautionary measures.
- You may have blockages in 1 or 2 arteries and the size of the same may also be reasonably small. In this case, you will be advised to undergo ANGIOPLASTY with or without stenting.
- In the event of your having multiple blockages or very long lesions in 1 or more arteries which cannot be treated with Angioplasty, you will be advised to undergo Coronary Bypass Grafting Surgery (CABG)








